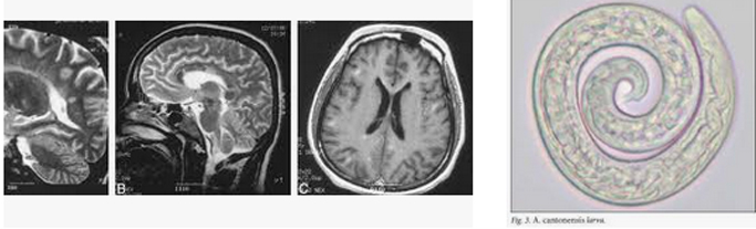
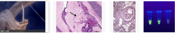
Angiostrongylus cantonensis: lesions in brain and spinal cord, Angiostrongylus cantonensis meningitis in two developmentally delayed children: findings in brain images, Lung CT findings of angiostrongyliasis cantonensis caused by Angiostrongylus cantonensis, Parastrongylus cantonensis in a nonhuman primate, Florida...
Angiostrongylus cantonensis: lesions in brain and spinal cord.Diao Z, Jin E, Yin C.
Am J Trop Med Hyg. 2010 Apr;82(4):519. doi: 10.4269/ajtmh.2010.09-0658. No abstract available.
PMID: 20348490 Free PMC Article Similar articles Select item 200352092.
Angiostrongylus cantonensis meningitis in two developmentally delayed children: findings in brain images.
Lee IC.
Pediatr Infect Dis J. 2010 Jan;29(1):90-1. doi: 10.1097/INF.0b013e3181c2128c. No abstract available.
PMID: 20035209 Similar articlesSelect item 215138533.

Lung CT findings of angiostrongyliasis cantonensis caused by Angiostrongylus cantonensis.
Cui Y, Shen M, Meng S.
Clin Imaging. 2011 May-Jun;35(3):180-3. doi: 10.1016/j.clinimag.2010.05.004.
PMID: 21513853 Similar articlesSelect item 156638634.
Parastrongylus cantonensis in a nonhuman primate, Florida.
Duffy MS, Miller CL, Kinsella JM, de Lahunta A.
Emerg Infect Dis. 2004 Dec;10(12):2207-10.
PMID: 15663863 Free PMC Article Similar articles Select item 211189175.
Images in clinical tropical medicine. Myelitis caused by infection of Angiostrongylus cantonensis.
Diao Z, Yin C, Jin E.
Am J Trop Med Hyg. 2010 Dec;83(6):1176-7. doi: 10.4269/ajtmh.2010.10-0418. No abstract available.
PMID: 21118917 Free PMC Article Similar articlesSelect item 238434456.
Severe hemorrhagic meningoencephalitis due to Angiostrongylus cantonensis among young children in Sydney, Australia.
Morton NJ, Britton P, Palasanthiran P, Bye A, Sugo E, Kesson A, Ardern-Holmes S, Snelling TL.
Clin Infect Dis. 2013 Oct;57(8):1158-61. doi: 10.1093/cid/cit444. Epub 2013 Jul 9.
PMID: 23843445 Similar articles Select item 121120547.

Angiostrongylus cantonensis infection mimicking a spinal cord tumor.
Petjom S, Chaiwun B, Settakorn J, Visrutaratna P, Rangdaeng S, Thorner PS.
Ann Neurol. 2002 Jul;52(1):99-101.
PMID: 12112054 Similar articlesSelect item 151004588.
Fatal autochthonous eosinophilic meningitis in a Jamaican child caused by Angiostrongylus cantonensis.
Lindo JF, Escoffery CT, Reid B, Codrington G, Cunningham-Myrie C, Eberhard ML.
Am J Trop Med Hyg. 2004 Apr;70(4):425-8.
PMID: 15100458 Similar articlesSelect item 14617039.

Angiostrongylus cantonensis infection in infants and young children.
Shih SL, Hsu CH, Huang FY, Shen EY, Lin JC.
Pediatr Infect Dis J. 1992 Dec;11(12):1064-6. No abstract available.
PMID: 1461703 Similar articlesSelect item 1039704610.
A fatal case of angiostrongyliasis in an 11-month-old infant.
Cooke-Yarborough CM, Kornberg AJ, Hogg GG, Spratt DM, Forsyth JR.
Med J Aust. 1999 Jun 7;170(11):541-3.
PMID: 10397046 Similar articlesSelect item 2508586911.
Cerebral Angiostrongylus cantonensis infection in a captive African pygmy falcon (Polihierax semitorquatus) in southern California.
Burns RE, Bicknese EJ, Qvarnstrom Y, DeLeon-Carnes M, Drew CP, Gardiner CH, Rideout BA.
J Vet Diagn Invest. 2014 Sep;26(5):695-8. doi: 10.1177/1040638714544499. Epub 2014 Aug 1.
PMID: 25085869 Similar articlesSelect item 2451628112.
Clinical manifestations of Eosinophilic meningitis due to infection with Angiostrongylus cantonensis in children.
Sawanyawisuth K, Chindaprasirt J, Senthong V, Limpawattana P, Auvichayapat N, Tassniyom S, Chotmongkol V, Maleewong W, Intapan PM.
Korean J Parasitol. 2013 Dec;51(6):735-8. doi: 10.3347/kjp.2013.51.6.735. Epub 2013 Dec 31.
PMID: 24516281 Free PMC Article Similar articles Select item 1691244513.

Eosinophilic meningitis due to Angiostrongylus cantonensis.
Panackel C; Vishad, Cherian G, Vijayakumar K, Sharma RN.
Indian J Med Microbiol. 2006 Jul;24(3):220-1.
PMID: 16912445 Free Article Similar articles Select item 143197714.
Angiostrongylus cantonensis abscess in the brain; what do we learn?
Prakash S.
J Neurol Neurosurg Psychiatry. 1992 Oct;55(10):982. No abstract available.
PMID: 1431977 Free PMC Article Similar articles Select item 128577715.
Angiostrongylus cantonensis.
Ash LR.
J Neurol Neurosurg Psychiatry. 1992 Sep;55(9):861. No abstract available.
PMID: 1285777 Free PMC Article Similar articles Select item 2152497616.
Clinical manifestations of eosinophilic meningitis caused by Angiostrongylus cantonensis: 18 years' experience in a medical center in southern Taiwan.
Tseng YT, Tsai HC, Sy CL, Lee SS, Wann SR, Wang YH, Chen JK, Wu KS, Chen YS.
J Microbiol Immunol Infect. 2011 Oct;44(5):382-9. doi: 10.1016/j.jmii.2011.01.034. Epub 2011 Jan 20.
PMID: 21524976 Free Article Similar articles Select item 2457130417.
Neuroangiostrongyliasis due to Angiostrongylus cantonensis in gang-gang cockatoos (Callocephalon fimbriatum).
Reece RL, Perry RA, Spratt DM.
Aust Vet J. 2013 Nov;91(11):477-81. doi: 10.1111/avj.12116.
PMID: 24571304 Similar articles Select item 980356018.

[Meningoencephalomyelitis due to Angiostrongylus cantonensis with lung involvement].
Siles Cadillá J, Almuedo Paz A, Fernández de Mera JJ, Galarraga Inza J, Cruz Guerrero G.
An Esp Pediatr. 1998 Sep;49(3):308-10. Review. Spanish. No abstract available.
PMID: 9803560 Similar articles Select item 2458333519.
Angiostrongylus cantonensis eosinophilic meningitis: a clinical study of 42 consecutive cases in French Polynesia.
Oehler E, Ghawche F, Delattre A, Berberian A, Levy M, Valour F.
Parasitol Int. 2014 Jun;63(3):544-9. doi: 10.1016/j.parint.2014.02.001. Epub 2014 Feb 26.
PMID: 24583335 Similar articlesSelect item 1952332320.
Meningitis and radiculomyelitis caused by Angiostrongylus cantonensis.
Maretić T, Perović M, Vince A, Lukas D, Dekumyoy P, Begovac J.
Emerg Infect Dis. 2009 Jun;15(6):996-8. doi: 10.3201/eid1506.081263. Review. No abstract available.
PMID: 19523323 Free PMC Article Similar articles
Magnetic resonance imaging of eosinophilic meningoencephalitis caused by Angiostrongylus cantonensis following eating freshwater snails.
Jin EH, Ma Q, Ma DQ, He W, Ji AP, Yin CH.
Chin Med J (Engl). 2008 Jan 5;121(1):67-72.
PMID: 18208669 Similar articles Select item 1248060122.

[Meningoencephalitis caused by Angiostrongylus cantonensis: report of 1 case].
Zhang YZ, Lu BX, Zhou HZ, Yang YX.
Di Yi Jun Yi Da Xue Xue Bao. 2002 Dec;22(12):1144-4. Chinese.
PMID: 12480601 Similar articles Select item 1736698123.
[Heavy infection of Angiostrongylus cantonensis due to swallowing raw slugs].
Li LS, Lin JX, Zhang RY.
Zhongguo Ji Sheng Chong Xue Yu Ji Sheng Chong Bing Za Zhi. 2006 Dec;24(6):460, 465. Chinese. No abstract available.
PMID: 17366981 Similar articles Select item 2041175824.
[Severe angiostrongyliasis cantonensis in a toddler].
Zhang RY, Li LS, Lin JX.
Zhongguo Ji Sheng Chong Xue Yu Ji Sheng Chong Bing Za Zhi. 2010 Feb;28(1):71, 74. Chinese. No abstract available.
PMID: 20411758 Similar articlesSlect item 2124649625.
[Two patients with chronic meningitis due to Angiostrongylus cantonensis].
Sabina-Molina D, Dorta-Contreras AJ, Padilla-Docal B, Bu-Coifiú Fanego R.
Rev Neurol. 2011 Jan 1;52(1):60-1. Spanish. No abstract available.
PMID: 21246496 Free ArticleSimilar articles Select item 130825826.
In vitro observation on egg release by Angiostrongylus cantonensis from rats treated with flubendazole.
Kanda S, Maki J.
Kitasato Arch Exp Med. 1992 Sep;65(2-3):155-8. No abstract available.
PMID: 1308258 Similar articlesSelect item 1156886027.
Eosinophilic meningitis due to Angiostrongylus cantonensis in a returned traveler: case report and review of the literature.
Lo Re V 3rd, Gluckman SJ.
Clin Infect Dis. 2001 Nov 1;33(9):e112-5. Epub 2001 Sep 24.
PMID: 11568860 Similar articles Select item 1729705528.
Eosinophilic meningitis caused by Angiostrongylus cantonensis after ingestion of raw frogs.
Lai CH, Yen CM, Chin C, Chung HC, Kuo HC, Lin HH.
Am J Trop Med Hyg. 2007 Feb;76(2):399-402.
PMID: 17297055 Similar articles Select item 957875029.

Cerebrospinal angiostrongyliasis in five captive tamarins (Sanguinus spp).
Carlisle MS, Prociv P, Grennan J, Pass MA, Campbell GL, Mudie A.
Aust Vet J. 1998 Mar;76(3):167-70.
PMID: 9578750 Similar articles Select item 1915729830.
[Pathological change in the brain of mice infected with Angiostrongylus cantonensis].
Guo PJ, Zhan XM, Gan M, Pan ZH, Yu YJ, Zhang MC, Qu ZY, Li ZY, He A.
Zhongguo Ji Sheng Chong Xue Yu Ji Sheng Chong Bing Za Zhi. 2008 Oct 30;26(5):353-5. Chinese.
PMID: 19157298Similar articles Select item 2450329031.
Sequence analysis in partial genes of five isolates of Angiostrongylus cantonensis from Taiwan and biological comparison in infectivity and pathogenicity between two strains.
Lee JD, Chung LY, Wang LC, Lin RJ, Wang JJ, Tu HP, Wu ZD, Yen CM.
Acta Trop. 2014 May;133:26-34. doi: 10.1016/j.actatropica.2014.01.010. Epub 2014 Feb 3.
PMID: 24503290 Similar articlesSelect item 2419962932.
Severe eosinophilic meningitis owing to Angiostrongylus cantonensis in young Jamaican children: case report and literature review.
Evans-Gilbert T, Lindo JF, Henry S, Brown P, Christie CD.
Paediatr Int Child Health. 2014 May;34(2):148-52. doi: 10.1179/2046905513Y.0000000106. Epub 2013 Dec 6. Review.
PMID: 24199629 Similar articles Select item 1557598733.
Induced eosinophilia and proliferation in Angiostrongylus cantonensis-infected mouse brain are associated with the induction of JAK/STAT1, IAP/NF-kappaB and MEKK1/JNK signals.
Lan KP, Wang CJ, Hsu JD, Chen KM, Lai SC, Lee HH.
J Helminthol. 2004 Dec;78(4):311-7.
PMID: 15575987 Similar articles Select item 1223641834.

Clinical manifestations and outcome of patients with severe eosinophilic meningoencephalitis presumably caused by Angiostrongylus cantonensis.
Chotmongkol V, Sawanyawisuth K.
Southeast Asian J Trop Med Public Health. 2002 Jun;33(2):231-4.
PMID: 12236418Similar articles Select item 2307294635.
Endemic angiostrongyliasis in the Brazilian Amazon: natural parasitism of Angiostrongylus cantonensis in Rattus rattus and R. norvegicus, and sympatric giant African land snails, Achatina fulica.
Moreira VL, Giese EG, Melo FT, Simões RO, Thiengo SC, Maldonado A Jr, Santos JN.
Acta Trop. 2013 Jan;125(1):90-7. doi: 10.1016/j.actatropica.2012.10.001. Epub 2012 Oct 13.
PMID: 23072946 Free ArticleSimilar articles Select item 1086854036.
Successful management of pain syndrome due to Angiostrongylus cantonensis by implantable spinal cord stimulator.
Crump JA, Chambers ST, Acland RH, McKinney MR, Murdoch DR, MacFarlane MR.
Aust N Z J Med. 1999 Aug;29(4):565. No abstract available.
PMID: 10868540 Similar articles Select item 2192326237.
Brain magnetic resonance imaging abnormalities in eosinophilic meningitis caused by Angiostrongylus cantonensis infection.
Tsai HC, Tseng YT, Yen CM, Chen ER, Sy CL, Lee SS, Wann SR, Chen YS.
Vector Borne Zoonotic Dis. 2012 Feb;12(2):161-6. doi: 10.1089/vbz.2011.0603. Epub 2011 Sep 16.
PMID: 21923262 Similar articlesSelect item 1268563038.
Eosinophilic meningitis caused by Angiostrongylus cantonensis associated with eating raw snails: correlation of brain magnetic resonance imaging scans with clinical findings.
Tsai HC, Liu YC, Kunin CM, Lai PH, Lee SS, Chen YS, Wann SR, Lin WR, Huang CK, Ger LP, Lin HH, Yen MY.
Am J Trop Med Hyg. 2003 Mar;68(3):281-5.
PMID: 12685630 Similar articles Select item 2291319139.

Magnetic resonance imaging expression of central nervous system due to angiostrongyliasis cantonensis].
Wang XY, Lin L, Liu J.
Zhongguo Ji Sheng Chong Xue Yu Ji Sheng Chong Bing Za Zhi. 2012 Feb 29;30(1):49-51. Chinese.
PMID: 22913191 Similar articles Select item 2449933240.
Angiostrongylus cantonensis (Nematoda: Metastrongylidae) in the Ryukyu Islands tree rat (Diplothrix legata).
Okano T, Haga A, Mizuno E, onuma M, Nakaya Y, Nagamine T.
J Wildl Dis. 2014 Apr;50(2):322-5. doi: 10.7589/2013-03-050. Epub 2014 Feb 5.
PMID: 24499332 Similar articles
Genetic differences in the rat lungworm, Angiostrongylus cantonensis (Nematoda: Angiostrongylidae), in Thailand.
Dusitsittipon S, Thaenkham U, Watthanakulpanich D, Adisakwattana P, Komalamisra C.
J Helminthol. 2015 Sep;89(5):545-51. doi: 10.1017/S0022149X14000388. Epub 2014 Jun 16.
PMID: 24933508 Similar articles Select item 1679895442.
Brain and spinal cord haemorrhages associated with Angiostrongylus vasorum infection in four dogs.
Wessmann A, Lu D, Lamb CR, Smyth B, Mantis P, Chandler K, Boag A, Cherubini GB, Cappello R.
Vet Rec. 2006 Jun 24;158(25):858-63.
PMID: 16798954 Similar articleselect item 1045173543.

Angiostrongylus cantonensis infection in grey-headed fruit bats (Pteropus poliocephalus).
Reddacliff LA, Bellamy TA, Hartley WJ.
Aust Vet J. 1999 Jul;77(7):466-8. No abstract available.
PMID: 10451735 Similar articles Select item 2451252444.
Eosinophilic meningoencephalomyelitis in an orangutan (Pongo pygmaeus) caused by Angiostrongylus cantonensis.
Emerson JA, Walden HS, Peters RK, Farina LL, Fredholm DV, Qvarnstrom Y, Xayavong M, Bishop H, Slapcinsky J, McIntosh A, Wellehan JF Jr.
Vet Q. 2013 Dec;33(4):191-4. doi: 10.1080/01652176.2013.880005. No abstract available.
PMID: 24512524 Similar articles Select item 2478673045.
Hematological and histopathological changes in Rattus norvegicus (Wistar) experimentally infected by Angiostrongylus cantonensis (Chen, 1935).
Garcia JS, Dos Santos Bonfim TC, Junior AM, Tunholi VM, Tunholi-Alves VM, Mota EM, Simões Rde O, Santana AC, Hooper C, Pinheiro J, Bóia MN.
Parasitol Int. 2014 Aug;63(4):631-7. doi: 10.1016/j.parint.2014.04.008. Epub 2014 Apr 28.
PMID: 24786730 Similar articles Select item 1641978046.
Magnetic resonance imaging findings in the brains of rabbits infected with Angiostrongylus cantonensis: a long-term investigation.
Wang LC, Wan DP, Jung SM, Chen CC, Wong HF, Wan YL.
J Parasitol. 2005 Oct;91(5):1237-9.
PMID: 16419780 Similar articles Select item 1256769247.
[Report of 8 cases of angiostrongyliasis cantonensis].
Li XL, Zheng RY, Tao HQ.
Zhongguo Ji Sheng Chong Xue Yu Ji Sheng Chong Bing Za Zhi. 2000;18(3):154. Chinese. No abstract available.
PMID: 12567692 Similar articles Select item 1821755048.

Distribution of eosinophilic meningitis cases attributable to Angiostrongylus cantonensis, Hawaii.
Hochberg NS, Park SY, Blackburn BG, Sejvar JJ, Gaynor K, Chung H, Leniek K, Herwaldt BL, Effler PV.
Emerg Infect Dis. 2007 Nov;13(11):1675-80. doi: 10.3201/eid1311.070367.
PMID: 18217550 Free Article Similar articles Select item 2279917749.
[A review of researches on Angiostrongylus cantonensis and angiostrongyliasis cantonensis: analysis of related literatures].
Deng J, Zou JX, Zhou XM, Wu ZD.
Zhongguo Xue Xi Chong Bing Fang Zhi Za Zhi. 2012 Apr;24(2):228-31. Review. Chinese.
PMID: 22799177 Similar articlesSelect item 2585689950.
[Observation of animal model of life cycle of Angiostrongylus cantonensis].
Wang JM, Xu JJ, Zhou YH, Tao JP.
Zhongguo Xue Xi Chong Bing Fang Zhi Za Zhi. 2014 Dec;26(6):675-7. Chinese.
PMID: 25856899 Similar articles Select item 1566457951.
MRI findings of eosinophilic myelomeningoencephalitis due to Angiostrongylus cantonensis.
Jin E, Ma D, Liang Y, Ji A, Gan S.
Clin Radiol. 2005 Feb;60(2):242-50.
PMID: 15664579 Similar articles Select item 1556957952.
Eosinophilic meningitis caused by Angiostrongylus cantonensis: a case report and literature review.
Lim JM, Lee CC, Wilder-Smith A.
J Travel Med. 2004 Nov-Dec;11(6):388-90. Review. No abstract available.
PMID: 15569579 Free ArticleSimilar articles Select item 2237982853.

[Investigation on outbreak of angiostrongyliasis cantonensis due to consumption of snail food in Dali City].
Chen F, Chen SR, Li KR, Li TH, Fang W, Luo JJ.
Zhongguo Xue Xi Chong Bing Fang Zhi Za Zhi. 2011 Dec;23(6):687-90. Chinese.
PMID: 22379828 Similar articles Select item 1043173054.
Morbidity and susceptibility of the mouse to Angiostrongylus cantonensis are not related to the H-2 complex.
Aoki M, Ishida K, Sugaya H, Yoshimura K.
Parasitol Res. 1999 Aug;85(8-9):669-71. No abstract available.
PMID: 10431730 Similar articles Select item 2436172255.
Dexamethasone downregulated the expression of CSF 14-3-3β protein in mice with eosinophilic meningitis caused by Angiostrongylus cantonensis infection.
Tsai HC, Lee BY, Yen CM, Wann SR, Lee SS, Chen YS, Tai MH.
Acta Trop. 2014 Mar;131:98-103. doi: 10.1016/j.actatropica.2013.12.006. Epub 2013 Dec 18.
PMID: 24361722 Similar articles Select item 1096464856.
Development of brain injury in mice by Angiostrongylus cantonensis infection is associated with the induction of transcription factor NF-kappaB, nuclear protooncogenes, and protein tyrosine phosphorylation.
Lee HH, Shiow SJ, Chung HC, Huang CY, Lin CL, Hsu JD, Shyu LY, Wang CJ.
Exp Parasitol. 2000 Jul;95(3):202-8.
PMID: 10964648 Similar articles Select item 1556263157.
Alteration of antibodies against the fifth-stage larvae and changes in brain magnetic resonance images in experimentally infected rabbits with Angiostrongylus cantonensis.
Wang LC, Wan YL.
J Parasitol. 2004 Oct;90(5):1193-6.
PMID: 15562631 Similar articles Select item 2433329158.
Metabolic and histopathological profile of Rattus norvegicus (Wistar) experimentally infected by Angiostrongylus cantonensis (Chen, 1935).
Garcia JS, Lúcio Cdos S, Bonfim TC, Junior AM, Tunholi VM, Tunholi-Alves VM, Mota EM, Simões Rde O, Santana AC, Hooper C, Pinheiro J, Bóia MN.
Exp Parasitol. 2014 Feb;137:35-40. doi: 10.1016/j.exppara.2013.12.002. Epub 2013 Dec 12.
PMID: 24333291 Free ArticleSimilar articles Select item 965637559.

Angiostrongylus infections in rats and snails in northeast Thailand.
Pipitgool V, Sithithaworn P, Pongmuttasaya P, Hinz E.
Southeast Asian J Trop Med Public Health. 1997;28 Suppl 1:190-3.
PMID: 9656375 Similar articles Select item 2008308160.
The giant African snail Achatina fulica as natural intermediate host of Angiostrongylus cantonensis in Pernambuco, northeast Brazil.
Thiengo SC, Maldonado A, Mota EM, Torres EJ, Caldeira R, Carvalho OS, Oliveira AP, Simões RO, Fernandez MA, Lanfredi RM.
Acta Trop. 2010 Sep;115(3):194-9. doi: 10.1016/j.actatropica.2010.01.005. Epub 2010 Jan 18.
PMID: 20083081 Similar articles
Changing epidemiology of Angiostrongyliasis cantonensis in Okinawa prefecture, Japan.
Asato R, Taira K, Nakamura M, Kudaka J, Itokazu K, Kawanaka M.
Jpn J Infect Dis. 2004 Aug;57(4):184-6. No abstract available.
PMID: 15329455 Free Article Similar articles Select item 1736181562.
[Development of PCR assay for detection of Angiostrongylus cantonensis in Pomacea canaliculata].
Zhang Y, Zhou XN, Liu HX, Lv S, Li LS, Lin JX, Li YS.
Zhongguo Ji Sheng Chong Xue Yu Ji Sheng Chong Bing Za Zhi. 2006 Oct;24(5):353-5. Chinese.
PMID: 17361815 Similar articlesSelect item 921151163.
Eosinophilia and intracranial worm recovery in interleukin-5 transgenic and interleukin-5 receptor alpha chain-knockout mice infected with Angiostrongylus cantonensis.
Sugaya H, Aoki M, Yoshida T, Takatsu K, Yoshimura K.
Parasitol Res. 1997;83(6):583-90.
PMID: 9211511 Similar articles Select item 1635551064.
Angiostrongyliasis, Mainland China.
Chen XG, Li H, Lun ZR.
Emerg Infect Dis. 2005 Oct;11(10):1645-7. No abstract available.
PMID: 16355510 Free PMC Article Similar articles Select item 965636565.
Detection of circulating antigens of Parastrongylus cantonensis in human sera by sandwich ELISA with specific monoclonal antibody.
Eamsobhana P, Mak JW, Yong HS.
Southeast Asian J Trop Med Public Health. 1997;28 Suppl 1:139-42.
PMID: 9656365 Similar articlesSlect item 1904004066.

[Study on the epidemiological characteristics and natural infectious focus of Angiostrongylus cantonensis in Shenzhen area of Zhujiang Delta in China].
Zhang RL, Gao ST, Geng YJ, Huang DN, Chen MX, Liu JP, Wu YL, Zhen Y, Dai ZW, Zuang QW, Wu TS, Ma ZC, Chen WS, Li DL.
Zhonghua Liu Xing Bing Xue Za Zhi. 2008 Jun;29(6):573-6. Chinese.
PMID: 19040040 Similar articles Select item 2482233867.
[One case of angiostrongyliasis cantonensis].
Chen J, Ke XM, Li XH.
Zhongguo Ji Sheng Chong Xue Yu Ji Sheng Chong Bing Za Zhi. 2011 Dec;29(6):414. Chinese. No abstract available.
PMID: 24822338 Similar articles Select item 129373168.
First record of Angiostrongylus cantonensis (Chen, 1935) (Nematoda: Metastrongylidae) in the Dominican Republic.
Vargas M, Gomez Perez JD, Malek EA.
Trop Med Parasitol. 1992 Dec;43(4):253-5.
PMID: 1293731 Similar articles Select item 1257205369.
[Three lethal cases of Angiostrongylus cantonensis infected children].
Li DN, He A, Wang Y, Liang Y, Li ZY, Men JX, Zhan XM.
Zhongguo Ji Sheng Chong Xue Yu Ji Sheng Chong Bing Za Zhi. 2001;19(5):310-1. Chinese.
PMID: 12572053 Similar articles Select item 1954595770.
Abdominal angiostrongyliasis caused by Angiostrongylus cantonensis: a possible cause of eosinophilic infiltration in human digestive tract.
Sawanyawisuth K, Pugkhem A, Mitchai J, Intapan PM, Anunnatsiri S, Limpawattana P, Chotmongkol V.
Pathol Res Pract. 2010 Feb 15;206(2):102-4. doi: 10.1016/j.prp.2009.05.006. Epub 2009 Jul 9.
PMID: 19545957 Similar articles Select item 2390137871.
Human parasitic meningitis caused by Angiostrongylus cantonensis infection in Taiwan.
Tsai HC, Chen YS, Yen CM.
Hawaii J Med Public Health. 2013 Jun;72(6 Suppl 2):26-7.
PMID: 23901378 Free PMC ArticleSimilar articles Select item 2577658272.
Eosinophilic meningitis caused by Angiostrongylus cantonensis--a neglected disease with escalating importance.
Eamsobhana P.
Trop Biomed. 2014 Dec;31(4):569-78. Review.
PMID: 25776582Free ArticleSimilar articles Select item 1930439573.
Existence of Angiostrongylus cantonensis in rats (Rattus norvegicus) in Grenada, West Indies.
Chikweto A, Bhaiyat MI, Macpherson CN, Deallie C, Pinckney RD, Richards C, Sharma RN.
Vet Parasitol. 2009 May 26;162(1-2):160-2. doi: 10.1016/j.vetpar.2009.02.020. Epub 2009 Feb 27.
PMID: 19304395 Similar articlesSelect item 1201782074.
Human infections with Angiostrongylus cantonensis.
Alto W.
Pac Health Dialog. 2001 Mar;8(1):176-82. Review.
PMID: 12017820 Similar articleselect item 1676640475.
Optic neuritis secondary to Angiostrongylus cantonensis infection.
Wang LC, Wang IH, Jou JR.
Ocul Immunol Inflamm. 2006 Jun;14(3):189-91.
PMID: 16766404 Similar articles Select item 2301296376.
[Investigation on snails Achatina fulica and Pomacea canaliculata infected with Angiostrongylus cantonensis in Panyu region of Guangzhou City].
Chen CX, He HF, Yin Z, Zhou JH, Li SQ, Li FH, Chen JM, Zhu WJ, Zhong XM, Yang KY, Liu GP, Jia X, Chen WT, Li XM, Chen YC, Luo XD, Chen DX, Shen HX.
Zhongguo Xue Xi Chong Bing Fang Zhi Za Zhi. 2012 Jun;24(3):336-8. Chinese.
PMID: 23012963 Similar articles Select item 2314828377.

Interleukin 33 mediates type 2 immunity and inflammation in the central nervous system of mice infected with Angiostrongylus cantonensis.
Peng H, Sun R, Zhang Q, Zhao J, Wei J, Zeng X, Zheng H, Wu Z.
J Infect Dis. 2013 Mar 1;207(5):860-9. doi: 10.1093/infdis/jis682. Epub 2012 Nov 12.
PMID: 23148283 Similar articles Select item 1583763278.
[Value of the antigen with molecular mass of 32 000 in immunodiagnosis of Angiostrongylus cantonensis].
Li H, Chen XG, Shen HX, Chen DX, Qiu YR, Hu XJ.
Di Yi Jun Yi Da Xue Xue Bao. 2005 Apr;25(4):380-3. Chinese.
PMID: 15837632 Similar articles Select item 1878547379.
[Epidemiological analysis on 141 cases of angiostrongyliasis cantonensis in Beijing].
Wang J, Zheng XY, Yin CH, Guo ZZ, Qi HY, Li XL, Diao ZL, Ma SX, Wang F, Ji AP, Feng ML.
Zhonghua Liu Xing Bing Xue Za Zhi. 2008 Jan;29(1):27-9. Chinese.
PMID: 18785473 Similar articles Select item 1967427380.
Eosinophilic meningitis due to Angiostrongylus cantonensis in Germany.
Luessi F, Sollors J, Torzewski M, Müller HD, Siegel E, Blum J, Sommer C, Vogt T, Thömke F.
J Travel Med. 2009 Jul-Aug;16(4):292-4. doi: 10.1111/j.1708-8305.2009.00337.x.
PMID: 19674273 Free ArticleSimilar articles
Efficacy of albendazole combined with a marine fungal extract (m2-9) against Angiostrongylus cantonensis-induced meningitis in mice.
Li ZY, Sun R, Li J, Song YX, Lin YC, Zeng X, He HJ, Wei J, Yang F, Zheng HQ, Lv ZY, Wu ZD.
J Helminthol. 2012 Dec;86(4):410-7. doi: 10.1017/S0022149X11000630. Epub 2011 Nov 4.
PMID: 22050968Similar articles Select item 2212485482.

A comparative study of neuroimaging features between human neuro-gnathostomiasis and angiostrongyliasis.
Kanpittaya J, Sawanyawisuth K, Intapan PM, Khotsri P, Chotmongkol V, Maleewong W.
Neurol Sci. 2012 Aug;33(4):893-8. doi: 10.1007/s10072-011-0864-1. Epub 2011 Nov 29.
PMID: 22124854Similar articles Select item 1649051683.
Necrotizing retinitis induced by Angiostrongylus cantonensis.
Liu IH, Chung YM, Chen SJ, Cho WL.
Am J Ophthalmol. 2006 Mar;141(3):577-9.
PMID:16490516Similar articles Select item 1631918084.
Pathological changes in the brains of rabbits experimentally infected with Angiostrongylus cantonensis after albendazole treatment: histopathological and magnetic resonance imaging studies.
Wang LC, Jung SM, Chen CC, Wong HF, Wan DP, Wan YL.
J Antimicrob Chemother. 2006 Feb;57(2):294-300. Epub 2005 Nov 30.
PMID:16319180Similar articles Select item 1550942585.
Induction of matrix metalloproteinase-9 in murine eosinophilic meningitis caused by Angiostrongylus cantonensis.
Lai SC, Twu JJ, Jiang ST, Hsu JD, Chen KM, Chiaing HC, Wang CJ, Tseng CK, Shyu LY, Lee HH.
Ann Trop Med Parasitol. 2004 Oct;98(7):715-24.
PMID:15509425Similar articles Select item 2629924386.